歯周病の患者様への対応
|
なぜ虫歯や歯周病になるのか? どうしたらもっと歯を長持ちさせることができるのか? 患者様ことに担当の歯科衛生士がやさしく、きびしく対応させていただきます。 |
| case 1 | case2 | case3 |
| case3|
![]() |
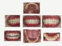
初診時 22歳女性 親知らずの痛みと検診を主訴に来院された。 妊娠期間中に歯肉の腫れ、 ブラッシング時の出血が気になりはじめた。 診断のため基本資料の採取 |
||
![]() |
初診時のパノラマレントゲン | ||
![]() |
初診時の口腔内写真のアップ画像 まず見えている歯石を除去し、歯周病菌を 除去できるようにプラークコントロールした。 |
||
![]() |
歯肉縁下の歯石を全体的に除去し、2週間後の状態。 歯間の歯肉の引き締まりが確認できる。 |
||
![]() |
初診より約1年後。 歯間の歯肉の状態も正常に改善され、全体的に赤みも治まっている。 |
||
![]() |
再評価 全体的に歯肉の引き締まりと、ブラッシング時の出血の減少 プラークコントロールが良い状態で継続されているので、 歯間ブラシの指導も追加した。 |
||
![]() |
再評価時のデンタル写真 歯石の取り残しが無い事と、大きな骨吸収が無い事が確認できた。 1ヶ月期間を開けて様子を見ていくことに。 |
||
![]() |
初診時より、約1年後の口腔内写真。 歯間乳頭の改善。全体的に赤みも取れ健全 な状態を維持できている。 その後、定期健診も継続されている。 |
||
![]() |
初診時より約3年経過後のデンタル写真 再評価時とほぼ変わりはなく、新たな歯石の沈着や骨吸収もみられない。 |
||
![]() |
3年経過後も、歯肉の炎症なく安定した口腔内を保てている。 | ||
![]() |
約3年経過後の口腔内写真。 経過は良好で、プラークコントロールも維持できている。 |
||












